Carcinomas with Lymphoid Stroma within the Gastrointestinal Tract: Histology and Molecular Pathology

Nicole Max[1], Gieri Cathomas[2], and Cord Langner[1]

Abstract

Carcinomas with lymphoid stroma represent a distinct morphological subtype of gastrointestinal cancer. They occur most often in the stomach or in the colon. On the morphological level, they may be separated into medullary and lymphoepithelioma-like cancers. The former are characterized by predominantly syncytial growth and dense lymphocytic infiltration that prevails at the tumour periphery. Lymphoepithelioma-like cancers are made up of small clusters and aggregates of tumour that are broken up by large numbers of intratumoural lymphocytes. Differential diagnosis may be challenging and often requires immunohistochemistry. Several markers are often necessary to separate medullary colon carcinoma from poorly differentiated non-medullary carcinoma, as the immunophenotypes are overlapping. Diagnosis of gastrointestinal carcinoma with lymphoid stroma should always prompt further investigations, aiming at the detection of Epstein-Barr virus (EBV) infection and high level microsatellite instability (MSI-H). The majority of carcinomas with lymphoid stroma occurring in the stomach are lymphoepithelioma-like cancers. On the molecular level, these cancers are positive for EBV. In the colon medullary cancers prevail. They occur most often as right-sided lesions. These tumours almost invariably show MSI-H due to sporadic epigenetic silencing of the MLH-1 gene.

Introduction

The tumour microenvironment is a collective term that includes the tumour's surrounding and supportive stroma, including cancer-associated fibroblasts and pericytes, the different effectors of the immune system, blood platelets, hormones and other humoral factors [1]. Most of the immune cell populations interplay with the stromal factors, with distinct impact on tumour growth capacities, that is, proliferation, invasion and potential for spread [2].

The role played by lymphocytes is complex. The key tumoricidal lymphocyte is the natural killer (NK) cell, which is positive for CD56 and also CD8 (up to 80%) upon immunohistochemistry. Unlike other cytotoxic lymphocytes, NK cells kill neoplastic cells independent of their MHC protein, through their strong perforin. Furthermore, NK cells are also regulatory cells engaged in reciprocal interactions with dendritic cells, macrophages, distinct T cell subsets and endothelial cells [1].

The TH (Helper) population bearing the marker CD3+ and CD4+ performs a dual function, based upon the subsets and the ratio of their populations. TH1 cells mediate a tumour suppressor inflammatory reaction, whereas TH2 cells are players in cancer-associated inflammation, which are well recognized for their tumour-promoting capabilities [3]. B-lymphocytes mediating humoral immunity can promote cancer progression by altering the TH1/TH2 ratio [1]. Cytotoxic T lymphocytes bearing the marker CD8+ can identify and destroy cancer cells through their MHC recognition when recruited to the tumour milieu [4].

Regulatory T cells (Tregs) are a specialized subset of CD4 T cells that have an indispensable role in maintaining immune homeostasis and tolerance. Increased Treg numbers and/or function may exhibit tumour progression by interfering with immune surveillance. Conversely, in cancers with an inflammatory component, such as colorectal, Tregs can inhibit cancer progression by dampening inflammation [5].

In the gastrointestinal tract, tumours with prominent inflammatory component have been described under different terms, such as lymphoepithelioma-like and medullary carcinoma. In this review, we will summarize the histology and molecular pathology of gastrointestinal adenocarcinomas with prominent lymphoid stroma and will also refer to their clinical significance.

Histological variants

Traditionally, tumours with a dense lymphoid component can be classified into lymphoepithelioma-like and medullary carcinomas, but many authors do not regard these morphological variants as distinct entities and apply the two terms synonymously [6]. The more descriptive term "adenocarcinoma with lymphoid stroma" may alternatively be used for these lesions following the recommendations of the most recent World Health Organization (WHO) classification for tumours of the digestive system [7].

Historically, the term "medullary carcinoma" was introduced to depict a distinct variant of breast carcinoma with microscopic resemblance to the normal medulla oblongata. On low power, these lesions show an inner pale, solid area (corresponding to the cancer) and a surrounding darker zone (corresponding to the lymphoid infiltrate) [6]. On high power, true medullary carcinomas have well defined peripheral margins. It is important to assess the leading edge of invasion, which is non-infiltrative, as the outer border of the inflammatory component may be slightly irregular [6]. The tumour cells are usually disposed in syncytial sheets, the overall appearance of the tumours being organoid or solid. The nuclei are vesicular, with prominent nucleoli. Tumours exhibit a dense lymphocytic response, which consists mainly of mature lymphocytes. The preponderance of inflammation is peritumoural (Figure 1).

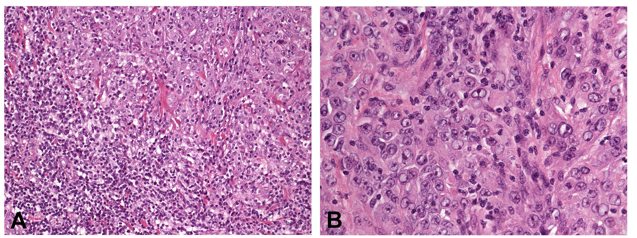
Figure 1

Figure 1. Medullary carcinomas have well defined peripheral margins with prominent peritumoural inflammation (A). The tumour cells are disposed in syncytial sheets, the overall appearance of the tumours being organoid or solid. The nuclei are vesicular, with prominent nucleoli. Admixed with the tumour cells mature lymphocytes and also plasma cells can be identified (B).

 

This is in contrast to the so-called "lymphoepithelioma-like carcinomas". In these tumours the lymphoid infiltrate tends to be more intratumoural than peritumoural. Lymphoepithelioma-like carcinomas were first described in the nasopharynx [8, 9], but later discovered also in other anatomic sites. On low power, these tumours are likewise well circumscribed, while on high power they do not display continuous sheets of tumour but are instead made up of small clusters and aggregates of tumour that are broken up by large numbers of intratumoural lymphocytes (Figure 2) [6].

Differential diagnosis mainly includes malignant lymphomas, in particular diffuse large B-cell lymphoma (DLBCL). With the help of immunohistochemistry, however, malignant lymphomas can easily be excluded.

Undoubtedly, there are morphological features that allow for their separation, but the distinction between medullary and lymphoepithelioma-like carcinomas may still be challenging, if not impossible in certain cases. Facing the rapidly evolving integration of molecular testing in the routine pathological work-up of cancer specimens, a distinction based upon routine haematoxylin and eosin evaluation may no longer be crucial. Instead, for all gastrointestinal adenocarcinomas characterized by a dense lymphoid stroma, the molecular basis of disease should be sought for, which may be either Epstein-Barr virus (EBV) infection or microsatellite instability (MSI).  

 

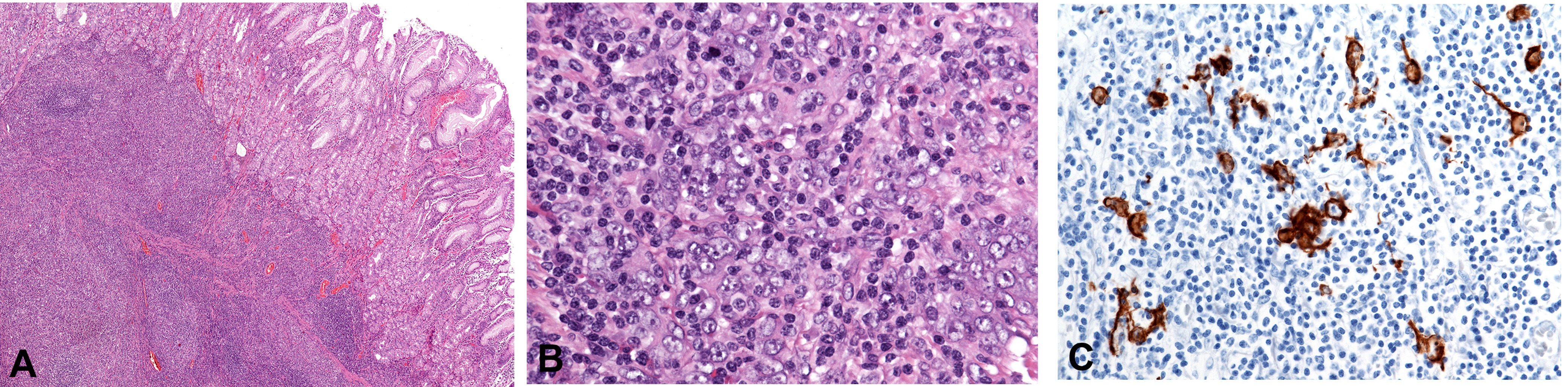
Figure 2

Figure 2. Lymphoepithelioma-like carcinomas are well circumscribed tumours (A). On high power they do not display continuous sheets of tumour, but are instead made up of small clusters and aggregates of tumour that are broken up by large numbers of intratumoural lymphocytes (B), which can be highlighted by keratin immunostaining (C).

Stomach

Gastric carcinoma with lymphoid stroma was recognized as a distinct variant of gastric cancer almost forty years ago [10]. Grossly, this carcinoma was characterized by clear circumscription, usually with a central ulceration. A histological feature distinguishing this carcinoma was the presence of a non-desmoplastic stroma infiltrated uniformly with an abundance of mature lymphocytes and plasma cells throughout the entire area of the tumour. Carcinoma of this type was found in 4% of a total of 1041 cases of gastric carcinoma removed surgically [10]. Intratumoural lymphocytic infiltration occurs in association with reactive hyperplasia of the regional lymph nodes, particularly paracortical hyperplasia, and in such cases, there is a favourable prognosis, regardless of the presence of lymph node metastasis [11].

In 1990, Burke et al. [12] first described a "lymphoepithelial gastric carcinoma" that was associated with EBV. Three additional cases that were likewise positive for EBV were reported in the subsequent year by another group [13]. It is of note, however, that not all EBV-associated gastric cancers bear a dense lymphocytic component. Thus, EBV-infection may be detected in "classical" tubular or tubulopapillary adenocarcinomas that lack a dense inflammatory infiltrate. In the study by Chang et al. [14], EBV infection was detected in 30 out of 45 (67%) gastric cancers with lymphoid stroma, but also in 10 out of 292 (3.4%) consecutive cases of gastric carcinomas without lymphoid stroma (p < 0.05). In another study, four out of 52 (8%) conventional carcinomas were EBV positive [15].

In general, EBV-associated tumours account for about 10% of gastric carcinomas worldwide, and > 80,000 patients are estimated to develop EBV-associated gastric cancer annually [16, 17]. The tumours occur predominantly in males, often in the proximal stomach, and for reasons that are largely unclear with higher frequency as gastric stump carcinomas (Table 1) [18]. Thus, in the study by Baas et al. [19] EBV was detected in 9 out of 26 (35%) stump carcinomas compared to 2 out of 24 (8%) carcinomas originating from non-operated stomachs.

The prognosis of EBV-associated gastric is favourable [20]. It is largely unclear, however, how EBV infection contributes to the survival benefit. Most probably, the link is the inherent lymphocytic infiltration, which proved to be a predictor of favourable outcome in several studies [21, 22]. Very recently, Kim et al. [23] performed systematic gene expression profile analysis to compare tumour and non-tumour gastric tissues from 12 patients with EBV-associated gastric cancer and 14 patients with gastric cancer not related to EBV. Based upon Pearson correlation matrix analysis, EBV-associated cancers had a significantly higher degree of homogeneity than gastric cancers not related to EBV. Notably, most changes in EBV-associated cancers occurred in immune response genes. These changes might allow EBV-associated cancers to recruit reactive immune cells, which might contribute to the better outcomes of these patients, compared to those with cancers not related to EBV.

In the colon, dense intra- and peritumoural inflammatory reaction as well as the presence of Crohn’s-like lymphoid aggregates have been associated with high level microsatellite instability (MSI-H), which is the hallmark of cancer arising in the setting of Lynch Syndrome (hereditary non-polyposis colorectal carcinomas, HNPCC) [24-26]. In the stomach, adenocarcinomas with lymphoid stroma have likewise been associated with MSI-H status in a considerable number of cases, the majority of which occurring in a sporadic setting [27]. MSI-H gastric cancers share a significantly better prognosis than microsatellite stable cancers [21].

Grogg et al. [28] explored the relationship between EBV infection and MSI-H status in the setting of lymphocyte-rich gastric cancers. An interesting conclusion was that EBV and MSI were mutually exclusive. Thus, none of the tumours that were EBV-positive were MSI-H. Similar findings were obtained in the study by Leung et al. [29]. These studies support the notion that there are two separate pathways involved in the development of adenocarcinomas with lymphoid stroma. In the stomach it appears safe to assume that not all gastric cancers with a lymphoid stroma are medullary carcinomas. Indeed, if such a cancer is not MSI-H, it will more than likely be EBV-positive, and vice versa [6].

The role of EBV infection in the molecular pathogenesis of gastric cancer is only partly understood. In the study by Matsunou et al. [30] 85% of gastric carcinomas with lymphoid stroma were related to EBV. The authors detected EBV in nine of ten cancerous lesions in four cases of synchronous multiple cancers and in all five cancerous lesions in two cases of metachronous multiple cancers, suggesting that EBV infection may be an early event during carcinogenesis. Molecular evidence comes from an earlier study, which detected a single episomal form of EBV that was present in all tumour cells [31]. This finding strongly suggests that EBV infection occurs before transformation and latent infection of EBV is related to oncogenesis of EBV-associated gastric carcinomas.

 

Table 1. Characteristic clinicopathological features of carcinomas with lymphoid stroma in stomach and colon

 

Stomach

Colon

Age *

similar

similar

Gender

male > female

female > male

Prognosis *

better

better

Localization

proximal > distal

right > left

Histology

lymphoepithelioma-like

medullary

 

+++

+

 

+

+++

EBV association

+++

very rare

MSI-H

+

+++

 

* Age and prognosis are compared to "usual" types of gastric and colonic cancer, respectively.

Abbreviations: EBVEpstein-Barr virus
 MSI-HHigh level microsatellite instability

 

The difficulties encountered in infecting and transforming primary epithelial cells in experimental systems suggest that the role of EBV is complex and multi-factorial in nature [32]. Genetic alterations in the premalignant epithelium may support the establishment of latent EBV infection, which is believed to be an initiation event. Oncogenic properties have been reported in multiple EBV latent genes. The BamH1 A rightwards transcripts (BARTs) and the BART encoded microRNAs (miR-BARTs) are highly expressed in EBV-associated epithelial malignancies and may induce malignant transformation [32]. However, enhanced proliferation may not be the crucial function of EBV infection in epithelial malignancies, at least in the early stages of cancer development. EBV-encoded gene products may confer anti-apoptotic properties and promote the survival of infected premalignant epithelial cells harbouring genetic alterations. Multiple EBV-encoded microRNAs have been reported to have immune evasion functions. Genetic alterations in host cells as well as inflammatory stroma could modulate expression of EBV gene expression and alter the growth properties of infected premalignant epithelial cells encouraging their selection during carcinogenesis [32].

Though in vitro evidence is compelling, EBV has never been convincingly shown to be present in preneoplastic gastric lesions (intestinal metaplasia and dysplasia). In the most extensive study on this topic, zur Hausen et al. [33] systematically investigated 19 patients with EBV-associated gastric cancer. In all of them, EBV-positivity was restricted to the cancer cells, but were absent in the preneoplatic lesions.

Very recently, the Cancer Genome Atlas Research Network published a comprehensive molecular characterization of gastric adenocarcinomas [34]. The authors proposed a molecular classification dividing gastric cancer into four subtypes: tumours positive for EBV, which display recurrent PIK3CA mutations, extreme DNA hypermethylation (CpG island methylator phenotype; CIMP), and amplification of JAK2, CD274 (also known as PD-L1) and PDCD1LG2 (also known as PD-L2); microsatellite unstable tumours, which show elevated mutation rates, including mutations of genes encoding targetable oncogenic signalling proteins; genomically stable tumours, which are enriched for the diffuse histological variant and mutations of RHOA or fusions involving RHO-family GTPase-activating proteins; and tumours with chromosomal instability, which show marked aneuploidy and focal amplification of receptor tyrosine kinases.

Detection of EBV in tumour tissue is nowadays mainly done by in situ hybridization (ISH) (Figure 3). EBV encodes two small nuclear RNAs named EBER-1 and EBER-2, which are transcribed in latently EBV-infected cells in high concentration (up to 107 copies per cells) enabling the detection of EBV in the tumour cells (EBER-ISH) [31]. Some rare cases may show strong EBER-ISH staining in occasional surrounding lymphocytes but not in the tumour cells [35]. Therefore, if polymerase chain reaction (PCR) is used for virus detection, this needs to be done by quantitative real time PCR, not by qualitative PCR to avoid false-positive reporting.

Figure 3

Figure 3. EBV in tumour tissue is nowadays mainly done by in situ hybridization (ISH). EBV encodes two small nuclear RNAs named EBER-1 and EBER-2, which are transcribed in latently EBV-infected cells in high concentration enabling the detection of EBV in the tumour cells (EBER-ISH).

Colon

In the lower gastrointestinal tract, cancers with lymphoid stroma have been ignored for a long time. In 1977, Gibbs [36] reported eight cases of undifferentiated carcinoma of the large intestine, which had grown to a large size before symptoms were produced and which, despite the undifferentiated histology, had a favourable prognosis when locally resectable. Five patients survived between 6 and 28 years, one was well 6 months after operation and two cases where local removal could not be achieved, died within one year. Twenty years later Rüschoff et al. [37] reported a series of poorly differentiated adenocarcinomas with minimal or no glandular differentiation, combined with an expansive growth pattern and a significant dense lymphoid infiltration, comparable with solid or medullary gastric carcinomas. The tumours were MSI-H and demonstrated a generally favourable outcome.

In 1999, Jessurun et al. [38] reported a series of eleven cases of medullary adenocarcinoma of the colon with nests or trabeculae of regular small to medium-sized cells with moderate amounts of eosinophilic cytoplasm. All patients were female and their tumours were located in the caecum or proximal colon. Endocrine markers were negative. The authors stressed the importance to distinguish this tumour type from other more aggressive, nonglandular lesions. In the same year, Lanza et al. [39] confirmed Rüschoff’s observations [37] by proving that the majority of medullary cancers are MSI-H, diploid, and negative for p53.

The next major study was undertaken by Wick et al. [40]. These authors compared medullary carcinomas with poorly differentiated conventional enteric-type adenocarcinomas and neuroendocrine carcinomas.  Medullary carcinomas were significantly more common in the right colon, particularly the ascending colon, compared to enteric-type adenocarcinomas, which occurred mainly in the rectosigmoid. In addition, medullary carcinomas arose in older patients and mainly affected females. It is of note that medullary carcinoma was less likely to manifest with stage III or IV disease. The authors emphasised the similarity to neuroendocrine carcinoma, morphologically and immunophenotypically, but the percentage of neuroendocrine differentiation did not differ meaningfully from that of enteric-type adenocarcinoma.

A large population-based analysis assessing the Surveillance, Epidemiology and End Results (SEER) database confirmed the previous data [41]. Mean age at diagnosis was 69.3 (+/-12.5) years, with incidence increasing with age. In addition, medullary carcinomas were twice as common in females, who presented at a later age, with a lower stage and a trend towards favourable prognosis (Table 1). Tumours were most common in the proximal colon (74%), and there were no cases reliably identified in the rectum or appendix. Despite general lack of differentiation in tumour tissues, patients commonly presented with stage II disease, only 10% presenting with metastases [41].

According to the most recent edition of the WHO Classification of Tumours of the Digestive System [42], medullary carcinoma is characterized by sheets of malignant cells with vesicular nuclei, prominent nucleoli and abundant eosinophilic cytoplasm exhibiting prominent infiltration by intraepithelial lymphocytes. True lymphoepithelioma-like cancers which account for the majority of carcinomas with lymphoid stroma in the upper gastrointestinal tract are very rare in the colon, and the association with EBV appears to be inconsistent at this site [35]. In fact, EBV-positive lymphoepithelioma-like cancers have only anecdotally been reported [43-45].

Differential diagnosis needs exclusion of poorly differentiated non-medullary colorectal cancer and may include a plethora of different entities, including secondary tumours and malignant lymphomas, in particular high grade large cell lymphomas [46]. In a recent interobserver study including 15 cases initially classified as medullary carcinoma and 30 cases of poorly differentiated adenocarcinomas two pathologists agreed on only 31 of 45 cases (69 %) with kappa = 0.32 [47].

Therefore, the diagnosis of medullary carcinoma often needs immunohistochemical confirmation, which, however, includes several important pitfalls (Figure 4). Though being positive for pankeratin preparations, the majority of medullary cancers lack the expression of keratin 20 [47-49], which represents the predominant keratin in the bowel and which is expressed in the vast majority of non-medullary colorectal cancers [50]. Like conventional adenocarcinomas, some medullary carcinomas may be positive for keratin 7 [47-49, 51]. If keratin 7 positivity is observed in a tumour lacking positivity for keratin 20, this may cause major diagnostic problems and the lesion may easily be mistaken as a secondary tumour.

 

Figure 4

Figure 4. The diagnosis of medullary carcinoma often needs immunohistochemical confirmation, which, however, includes several important pitfalls. Quite often the tumour cells are only weakly of focally positive for keratin 20 (A). When a tumour like that is positive for keratin 7 (B) this may imply major diagnostic problems, especially if biopsy material is evaluated. Positivity for MUC2 (C) and CDX-2 (D) may be of help, but the expression of these markers is variable. As medullary carcinomas almost invariably show high-level microsatellite instability (MSI-H) staining loss of nuclear MLH1 (E) and PMS2 expression (F) may be the key step to accurate diagnosis (note the positive staining of intratumoural inflammatory cells serving as internal positive control).

Staining for the intestinal transcription factor CDX-2 is variable. While some authors reported positivity in the majority of cases, others noted CDX-2 expression in only 19% of cases [47-49]. It is of note that the staining is often focal or weak causing biopsies to be negative due to sampling error. Very recently, Lin et al. [49] suggested SATB2 and cadherin-17 as new diagnostic markers: Expression was noted in 89% of medullary carcinomas, in 97% and 98% of non-medullary colorectal adenocarcinomas, respectively, whereas only 3.6% and 3.3% of non-gastrointestinal tumours were positive, respectively.

Figure 5

Figure 5. Example of a medullary colon cancer with high-level microsatellite instability (MSI-H). The MSI profile assessed by a panel of five nearly monomorphic mononucleotide repeats (pentaplex panel) illustrates instability for all markers, as shown by additional alleles (allelic shifts). Two polymorphic pentanucleotide repeats (Penta C and Penta D) are included for sample identification.

 

As medullary carcinomas are almost invariably MSI-H (Figure 5), it is suggested to perform staining of the mismatch repair proteins MLH-1, MSH-2, MSH-6 and PMS-2 not only to confirm MSI, but also for diagnostic reasons. Loss of MLH-1 expression (and consequently its minor partner PMS-2) due to epigenetic silencing of the MLH-1 gene represents the most common phenotype [49]. In the study by Fiehn et al. [47] loss of MLH-1 (and PMS-2) was present in 8 out of 9 (89%) of medullary carcinomas as opposed to 10 out of 22 (45%) poorly differentiated non-medullary carcinomas (p = 0.04). Winn et al. [48] suggest the combined use of MLH-1 and CDX2 together with calretinin. In that study, MLH1 and CDX2 were positive in 21% and 19% of medullary carcinomas as opposed to 60% and 55% of the poorly differentiated non-medullary carcinomas (p = 0.02 and p = 0.03 respectively). The differential staining pattern for calretinin was the most striking with 73% of the medullary carcinomas as opposed to 12% of the poorly differentiated non-medullary carcinomas staining positive (p < 0.0001). A CDX2 negative, MLH1 negative, and calretinin positive immunohistochemical phenotype had an 82% positive predictive value for correctly distinguishing medullary carcinoma from poorly differentiated non-medullary carcinoma (Table 2).

Other sites

Very rare cases of carcinomas with lymphoid stroma of the oesophagus, usually referred to as lymphoepithelioma-like carcinoma [52-55], and the small bowel, usually referred to as medullary carcinoma [56,57], have been described in the literature. In the former, the association with EBV is controversial. To our knowledge, no lymphoepithelial carcinoma of the anus has been reported.

 

Table 2. Immunophenotype of medullary colorectal carcinoma compared to poorly differentiated non-medullary colorectal carcinoma [from Winn, Kanstrup]

 

Medullary carcinoma

Poorly differentiated non-medullary carcinoma

CK-20

11-44%

45%

CK-7

0-13%

21-23%

CDX-2

19-78%

55-68%

MUC-2

11-60%

36-59%

MLH-1 (and PMS-2)

11-21%

55-60%

Calretinin

44-73%

12-27%

 

Conclusion

Carcinomas with lymphoid stroma represent a distinct morphological subtype of gastrointestinal cancer. On the morphological level, they may be separated into medullary and lymphoepithelioma-like cancers. The former are characterized by predominantly syncytial growth and dense lymphocytic infiltration that prevails at the tumour periphery. Lymphoepithelioma-like cancers are made up of small clusters and aggregates of tumour that are broken up by large numbers of intratumoural lymphocytes. Diagnosis of gastrointestinal carcinoma with lymphoid stroma should always prompt further investigations, aiming at the detection of EBV infection and MSI-H. The majority of carcinomas with lymphoid stroma occurring in the stomach are lymphoepithelioma-like cancers. On the molecular level, these cancers are positive for EBV. In the colon medullary cancers prevail. These tumours are almost invariably MSI-H due epigenetic silencing of MLH-1.

 

 

References

1.           Goubran HA, Kotb RR, Stakiw J, Emara ME, Burnouf T. Regulation of tumor growth and metastasis: the role of tumor microenvironment. Cancer Growth Metastasis 2014; 7: 9-18.

2.           Joyce JA, Pollard JW. Microenvironmental regulation of metastasis. Nat Rev Cancer. 2009; 9: 239-252.

3.           Coussens LM, Zitvogel L, Palucka AK. Neutralizing tumor-promoting chronic inflammation: a magic bullet? Science. 2013; 339: 286-291.

4.           Fridman WH, Pagès F, Sautès-Fridman C, Galon J. The immune contexture in human tumours: impact on clinical outcome. Nat Rev Cancer 2012; 12: 298-306.

5.           Banerjee A, Vasanthakumar A, Grigoriadis G. Modulating T regulatory cells in cancer: how close are we? Immunol Cell Biol 2013; 91: 340-349.

6.           Chetty R. Gastrointestinal cancers accompanied by a dense lymphoid component: an overview with special reference to gastric and colonic medullary and lymphoepithelioma-like carcinomas. J Clin Pathol 2012; 65: 1062-1065.

7.           Lauwers GY, Carneiro F, Graham DY, Curado MP, Franceschi S, Montgomery E, Tatematsu M, Hattori T. Gastric carcinoma. In: Bosman FT, Carneiro F, Hruban RH, Theise ND. eds. World Health Organization Classification of Tumours of the Digestive System. Lyon: IARC Press 2010:48-58.

8.           Regaud C, Reverchon L. Sur un cas d’epitheliome epidermoide developpe dans les massif maxillaire superieur. Rev Laryngol Otol Rhinol 1921; 42: 369-378.

9.           Schminke A. Über lymphoepitheliale Geschwülste. Beitr Pathol Anat Allg Pathol 1921; 68: 161-170.

10.        Watanabe H, Enjoji M, Imai T. Gastric carcinoma with lymphoid stroma. Its morphologic characteristics and prognostic correlations. Cancer 1976; 38: 232-243.

11.        Okamura T, Kodama Y, Kamegawa T, Sano C, Kumashiro R, Inokuchi K. Gastric carcinoma with lymphoid stroma: correlation to reactive hyperplasia in regional lymph nodes and prognosis. Jpn J Surg 1983; 13: 177-183.

12.        Burke AP, Yen TS, Shekitka KM, Sobin LH. Lymphoepithelial carcinoma of the stomach with Epstein-Barr virus demonstrated by polymerase chain reaction. Mod Pathol 1990; 3: 377-380.

13.        Min KW, Holmquist S, Peiper SC, O'Leary TJ. Poorly differentiated adenocarcinoma with lymphoid stroma (lymphoepithelioma-like carcinomas) of the stomach. Report of three cases with Epstein-Barr virus genome demonstrated by the polymerase chain reaction. Am J Clin Pathol 1991; 96: 219-227.

14.        Chang MS, Kim WH, Kim CW, Kim YI. Epstein-Barr virus in gastric carcinomas with lymphoid stroma. Histopathology 2000; 37: 309-315.

15.        Chapel F, Fabiani B, Davi F, Raphael M, Tepper M, Champault G, et al. Epstein-Barr virus and gastric carcinoma in Western patients: comparison of pathological parameters and p53 expression in EBV-positive and negative tumours. Histopathology 2000; 36: 252-261.

16.        Murphy G, Pfeiffer R, Camargo MC, Rabkin CS. Meta-analysis shows that prevalence of Epstein-Barr virus-positive gastric cancer differs based on sex and anatomic location. Gastroenterology 2009; 137: 824-833.

17.        Chen JN, He D, Tang F, Shao CK. Epstein-Barr virus-associated gastric carcinoma: a newly defined entity. J Clin Gastroenterol 2012; 46: 262-271.

18.        Tokunaga M, Land CE, Uemura Y, Tokudome T, Tanaka S, Sato E. Epstein-Barr virus in gastric carcinoma. Am J Pathol 1993; 143: 1250-1254.

19.        Baas IO, van Rees BP, Musler A, Craanen ME, Tytgat GN, van den Berg FM, et al. Helicobacter pylori and Epstein-Barr virus infection and the p53 tumour suppressor pathway in gastric stump cancer compared with carcinoma in the non-operated stomach. J Clin Pathol 1998; 51: 662-666.

20.        Camargo MC, Kim WH, Chiaravalli AM, Kim KM, Corvalan AH, Matsuo K, et al. Improved survival of gastric cancer with tumour Epstein-Barr virus positivity: an international pooled analysis. Gut 2014; 63: 236-243.

21.        Chiaravalli AM, Cornaggia M, Furlan D, Capella C, Fiocca R, Tagliabue G, et al. The role of histological investigation in prognostic evaluation of advanced gastric cancer. Analysis of histological structure and molecular changes compared with invasive pattern and stage. Virchows Arch 2001; 439: 158-169.

22.        Huang KH, Wang RF, Yang MH, Wu CW, Fang WL, Li AF, et al. Advanced gastric cancer patients with lymphoid stroma have better survival than those without. J Surg Oncol 2013; 107: 523-528.

23.        Kim SY, Park C, Kim HJ, Park J, Hwang J, Kim JI, et al. Deregulation of immune response genes in patients with Epstein-Barr virus-associated gastric cancer and outcomes. Gastroenterology 2015; 148: 137-147.

24.        Alexander J, Watanabe T, Wu TT, Rashid A, Li S, Hamilton SR. Histopathological identification of colon cancer with microsatellite instability. Am J Pathol 2001; 158: 527-535.

25.        Shia J, Ellis NA, Paty PB, Nash GM, Qin J, Offit K, et al. Value of histopathology in predicting microsatellite instability in hereditary nonpolyposis colorectal cancer and sporadic colorectal cancer. Am J Surg Pathol 2003; 27: 1407-1417.

26.        Greenson JK, Huang SC, Herron C, Moreno V, Bonner JD, Tomsho LP, et al. Pathologic predictors of microsatellite instability in colorectal cancer. Am J Surg Pathol 2009; 33: 126-133.

27.        Lü BJ, Lai M, Cheng L, Xu JY, Huang Q. Gastric medullary carcinoma, a distinct entity associated with microsatellite instability-H, prominent intraepithelial lymphocytes and improved prognosis. Histopathology 2004; 45: 485-492.

28.        Grogg KL, Lohse CM, Pankratz VS, Halling KC, Smyrk TC. Lymphocyte-rich gastric cancer: associations with Epstein-Barr virus, microsatellite instability, histology, and survival. Mod Pathol 2003; 16: 641-651.

29.        Leung SY, Yuen ST, Chung LP, Chu KM, Wong MP, Branicki FJ, et al. Microsatellite instability, Epstein-Barr virus, mutation of type II transforming growth factor beta receptor and BAX in gastric carcinomas in Hong Kong Chinese. Br J Cancer 1999; 79: 582-588.

30.        Matsunou H, Konishi F, Hori H, Ikeda T, Sasaki K, Hirose Y, et al. Characteristics of Epstein-Barr virus-associated gastric carcinoma with lymphoid stroma in Japan. Cancer 1996; 77: 1998-2004.

31.        Oda K, Tamaru J, Takenouchi T, Mikata A, Nunomura M, Saitoh N, et al. Association of Epstein-Barr virus with gastric carcinoma with lymphoid stroma. Am J Pathol 1993; 143: 1063-1071.

32.        Tsao SW, Tsang CM, To KF, Lo KW. The role of Epstein-Barr virus in epithelial malignancies. J Pathol 2015; 235: 323-333.

33.        Zur Hausen A, van Rees BP, van Beek J, Craanen ME, Bloemena E, Offerhaus GJ, et al. Epstein-Barr virus in gastric carcinomas and gastric stump carcinomas: a late event in gastric carcinogenesis. J Clin Pathol 2004; 57: 487-491.

34.        Cancer Genome Atlas Research Network. Comprehensive molecular characterization of gastric adenocarcinoma. Nature 2014; 513: 202-209.

35.        Delaney D, Chetty R. Lymphoepithelioma-like carcinoma of the colon. Int J Clin Exp Pathol 2012; 5: 105-109.

36.        Gibbs NM. Undifferentiated carcinoma of the large intestine. Histopathology 1977; 1: 77-84.

37.        Rüschoff J, Dietmaier W, Lüttges J, Seitz G, Bocker T, Zirngibl H, et al. Poorly differentiated colonic adenocarcinoma, medullary type: clinical, phenotypic, and molecular characteristics. Am J Pathol 1997; 150: 1815-1825.

38.        Jessurun J, Romero-Guadarrama M, Manivel JC. Medullary adenocarcinoma of the colon: clinicopathologic study of 11 cases. Hum Pathol 1999; 30: 843-848.

39.        Lanza G, Gafà R, Matteuzzi M, Santini A. Medullary-type poorly differentiated adenocarcinoma of the large bowel: a distinct clinicopathologic entity characterized by microsatellite instability and improved survival. J Clin Oncol 1999; 17: 2429-2438.

40.        Wick MR, Vitsky JL, Ritter JH, Swanson PE, Mills SE. Sporadic medullary carcinoma of the colon: a clinicopathologic comparison with nonhereditary poorly differentiated enteric-type adenocarcinoma and neuroendocrine colorectal carcinoma. Am J Clin Pathol 2005; 123: 56-65.

41.        Thirunavukarasu P, Sathaiah M, Singla S, Sukumar S, Karunamurthy A, Pragatheeshwar KD, et al. Medullary carcinoma of the large intestine: a population based analysis. Int J Oncol 2010; 37: 901-907.

42.        Hamilton SR, Bosman FT, Boffetta P, Ilyas M, Morreau H, Nakamura SI, Quirke P, Riboli E, Sobin LH. Carcinoma of the colon and rectum. In: Bosman FT, Carneiro F, Hruban RH, Theise ND. eds. World Health Organization Classification of Tumours of the Digestive System. Lyon: IARC Press 2010:134-146.

43.        Samaha S, Tawfik O, Horvat R, Bhatia P. Lymphoepithelioma-like carcinoma of the colon: report of a case with histologic, immunohistochemical, and molecular studies for Epstein-Barr virus. Dis Colon Rectum 1998; 41: 925-928.

44.        Kon S, Kasai K, Tsuzuki N, Nishibe M, Kitagawa T, Nishibe T, Sato N. Lymphoepithelioma-like carcinoma of rectum: possible relation with EBV. Pathol Res Pract 2001; 197: 577-582.

45.        Kojima Y, Mogaki M, Takagawa R, Ota I, Sugita M, Natori S, et al. A case of lymphoepithelioma-like carcinoma of the colon with ulcerative colitis. J Gastroenterol 2007; 42: 181-185.

46.        Nguyen J, Coppola D, Shan Y, Zhang L. Poorly differentiated medullary carcinoma of the colon with an unusual phenotypic profile mimicking high grade large cell lymphoma - a unique case report and review of the literature. Int J Clin Exp Pathol 2014; 7: 828-834.

47.        Fiehn AM, Grauslund M, Glenthøj A, Melchior LC, Vainer B, Willemoe GL. Medullary carcinoma of the colon: can the undifferentiated be differentiated? Virchows Arch 2015; 466: 13-20.

48.        Winn B, Tavares R, Fanion J, Noble L, Gao J, Sabo E, et al. Differentiating the undifferentiated: immunohistochemical profile of medullary carcinoma of the colon with an emphasis on intestinal differentiation. Hum Pathol 2009; 40: 398-404.

49.        Lin F, Shi J, Zhu S, Chen Z, Li A, Chen T, et al. Cadherin-17 and SATB2 are sensitive and specific immunomarkers for medullary carcinoma of the large intestine. Arch Pathol Lab Med 2014; 138: 1015-1026.

50.        Harbaum L, Pollheimer MJ, Kornprat P, Lindtner RA, Schlemmer A, Rehak P, et al. Keratin 20 - a diagnostic and prognostic marker in colorectal cancer? Histol Histopathol 2012; 27: 347-356

51.        Harbaum L, Pollheimer MJ, Kornprat P, Lindtner RA, Schlemmer A, Rehak P, et al. Keratin 7 expression in colorectal cancer--freak of nature or significant finding? Histopathology 2011; 59: 225-234.

52.        Chen PC, Pan CC, Hsu WH, Ka HJ, Yang AH. Epstein-Barr virus-associated lymphoepithelioma-like carcinoma of the esophagus. Hum Pathol 2003; 34: 407-411.

53.        Nakasono M, Hirokawa M, Suzuki M, Takizawa H, Okitsu H, Okamura S, et al. Lymphoepithelioma-like carcinoma of the esophagus: report of a case with non-progressive behavior. J Gastroenterol Hepatol 2007; 22: 2344-2347.

54.        Terada T. Epstein-Barr virus associated lymphoepithelial carcinoma of the esophagus. Int J Clin Exp Med 2013; 6: 219-226.

55.        Uesato M, Kono T, Shiratori T, Akutsu Y, Hoshino I, Murakami K, et al. Lymphoepithelioma-like esophageal carcinoma with macroscopic reduction. World J Gastrointest Endosc 2014; 6: 385-389.

56.        Peycru T, Jarry J, Soubeyran I. Sporadic medullary carcinoma of the ileum. Clin Gastroenterol Hepatol 2011; 9: A24.

57.        Brcic I, Cathomas G, Vanoli A, Jilek K, Giuffrida P, Langner C. Medullary carcinoma of the small bowel. Histopathology. 2015 Nov 24. [Epub ahead of print]



[1] Institute of Pathology, Medical University, Graz, Austria

[2] Institute for Pathology, Kantonsspital Baselland, Liestal, Switzerland

 

Corresponding Author:

Cord Langner MD

Institute of Pathology, Medical University of Graz

Auenbruggerplatz 25

8036 Graz, Austria

Telephone +43 (0)316 385 13665

Fax +43 (0)316 385 13432

E-mail: cord.langner@medunigraz.at

 

Refbacks

  • There are currently no refbacks.



Copyright 2015-2017, Hellenic Society of Pathology
ISSN: 2459-3443